@ Quinn
真繫好值

呢段時間嚟講,我終於完成咗呢次既牙齒種植手術,感覺真繫好解脱。因為之前呢顆牙壞咗,食野都唔方便,仲要時時擔心會更加嚴重。手術過程好快,醫生好專業,打麻醉針時雖然有少少痛,但系一下子就過完。手術之後,醫生仲有詳細講解咗後期既護理方法。呢個手術真繫好值,有呢顆新牙,我食野再唔使擔心,笑容都更加自信。如果將來有呢方面既需要,真系推薦大家找呢位醫生。

Before
After
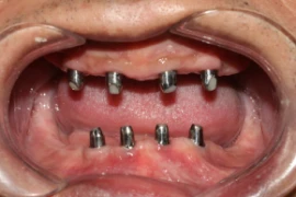
@ Emma
3D掃描幫我度身訂造植體‌

真係要吹爆呢間診所!之前喺香港搞極都整唔掂隻植牙‌,搞到食嘢永遠要側埋右邊好似阿婆食粥咁‌,點知嚟到呢度班牙醫簡直係神仙打救!

Before
After
@ Isabella
缺牙 近似真牙

總算是完成了佢嘅種植牙治療,佢原先缺咗幾顆牙,影響到進食同外貌,宜家終於搞定!呢個治療過程雖然有點長,但繫結果真系值得。呢位顧客話,最初真繫好擔心會痛或者效果唔好,但系醫生同團隊專業又細心,全程都有解釋同安慰。治療完之後,即刻感受到口腔有咗明顯變化,再唔使擔心食物塞住或者講話漏風。整體感覺既舒適又美觀,而且功能幾乎同真牙無分別。呢位顧客對結果相當滿意,終於可以再次綻放自信笑容,食東西再唔使忌口,真繫好開心!

Before
After
@ Lucas
好專業

呢位顧客終於完成咗牙齒種植手術,佢話之前無牙嘅感覺真繫好難受,食野唔方便,講話都唔自然。宜家就舒服多啦,種植體已經穩固落去,牙齒同真牙差唔多,食野、講話都自然好多。醫生同護士都好專業,手術過程好快,而且幾乎無乜痛楚。佢話現在終於可以大膽笑,唔使再擔心牙齒問題,真系開心到飛起!醫生仲有教佢好多後期護理方法,確保種植牙可以長期健康使用。整體感覺真系滿意到不行,話下次有朋友推薦來呢度做牙齒種植。

Before
After
@ Paul
定制植體 唔使等

今次真系要讚爆深圳嘅牙科服務!一家人過關去整牙,診所環境乾淨到反光,連阿爸都話好似入咗五星級酒店咁舒服‌。最驚喜係網上預約快到癲,頭先撳兩撳手機竟然即日有位,完全唔使等‌!

Before
After
@ Leong Ming
免費CT 免费出方案
呢度可以免費拍CT片出方案,之前我就是一直係度拖着,最后实在没有办法先決定植牙,他們的服務態度和技術都很好,出咗方案後可以俾你自己選擇點做,最後很放心,植完牙之後終於可以大膽食嘢啦!
Before
After
59503720